海洋浮游細菌研究

  1 引言

  海洋細菌是海洋生態系統中的重要組成部分,在海洋物質循環、能量流動以及生態調控等方面具有重要作用.海洋細菌的群落結構與種類組成直接影響整個海洋生態系統的健康發展,同時細菌群落結構又與其棲息的環境密切相關.海洋細菌的分類鑒定及其群落結構的分析方法包括表型鑒定法和分子遺傳學鑒定法兩大類(金光,2011),表型鑒定法包括細菌形態和生理生化水平、細胞組分水平、蛋白質水平上的鑒定,分子遺傳學鑒定法是在核酸水平上的鑒定,包括核酸雜交、PCR 技術、16S rRNA序列分析、全基因組測序等.

  變性梯度凝膠電泳(Denaturing gradient gel electrophoresis,DGGE)技術最早是由Fischer和Lerman于1983年創立的,是根據在不同濃度的變性劑中DNA片段解鏈行為的不同而導致電泳遷移率發生變化,從而將片段大小相同而堿基組成不同的片段分開.近年來PCR-DGGE技術已經廣泛運用于細菌的群落結構分析中.

  大亞灣位于南海北部,是廣東省重要的養殖基地,也是大亞灣核電站和惠州港所在地.由于近些年該海域污染日趨嚴重,海洋環境狀況發生顯著變化,浮游細菌群落結構也會發生明顯變化.目前有關大亞灣浮游細菌方面的報道不多,尚未有浮游細菌DNA指紋及分子多樣性方面的報道.為了了解大亞灣海域浮游細菌群落結構以及分子多樣性,本文采集了大亞灣海域表層水樣,利用PCR-DGGE技術對浮游細菌的DNA指紋進行了研究,以揭示DGGE技術等分子手段在浮游細菌群落結構多樣性分析上的應用.

  2 材料與方法

  2.1 樣品的采集與處理

  在廣東省大亞灣海域設置的9個采樣點(圖 1).S1~S3位于大亞灣澳頭海域,該海域毗鄰惠州市澳頭鎮,是重要網箱魚類養殖基地;S4~S6位于大鵬澳海域,該海域位于深圳市大鵬鎮,灣內有魚類和貝類養殖區,同時也是大亞灣核電站和嶺澳核電站所在地;S7~S8位于大亞灣灣口,受到養殖和人類活動的影響較小.分別于2010年12月15日(2010年冬)、2011年6月8日(2011年夏)采集表層水樣,每個采樣點采集水樣9 L,并在現場用中性魯哥試劑固定.固定的水樣先用孔徑為10 μm網篩過濾,然后再依次用GF/A濾膜(Whatman)以及 0.2 μm 聚醚砜濾膜(Millipore)過濾,濾膜上的樣品置于1.8 mL SET裂解緩沖液(20% 蔗糖,50 mmol · L-1 Tris-HCl pH 7.6,50 mmol · L-1 EDTA)中,儲存在-20 ℃待分析.

 

  圖1 大亞灣采樣點的設置

  2.2 水環境因子的測定

  水溫、鹽度、電導率、溶解氧(DO)、pH值等理化因子通過采用美國YSI-561多參數水質分析儀進行現場測定,透明度用薩氏盤測定.

  2.3 DNA的提取及16S rRNA基因V3區的PCR擴增

  利用美國Omega公司細菌基因組DNA的提取試劑盒提取細菌基因組DNA,方法參照產品說明書.采用原核生物通用引物Eubac341F(5′-CCT ACG GGA GGC AGC AG-3′)和Eubac517R(5′- ATT ACC GCG GCT GCT GG-3′)對細菌rRNA基因16S V3區的保守序列進行PCR擴增(Muyzer et al., 1993; Celussi et al., 2008),并在Eubac341F 5′端添加GC2夾子:5′- CGC CCG CCG CGC GCG GCG GGC GGG GCG GGG GCA CGG GGG GCC-3′),擴增體系為30 μL,擴增體系中各組分含量為別為:10×buffer 3 μL,dNTP 1 μL,上下游引物各0.3 μL,Taq DNA聚合酶0.4 μL,DNA模板1 μL,ddH2O 21 μL.PCR擴增反應程序:95 ℃ 4 min,94 ℃ 30 s,65~55 ℃ 30 s,72 ℃ 25 s每個循環降0.5 ℃,(94 ℃ 30 s,55 ℃ 30 s,72 ℃ 25 s)× 20個循環,72 ℃ 7min,4 ℃ ∞.擴增產物用1%瓊脂糖凝膠進行檢測,用1×的gelgreen工作液進行膠前染色.

  2.4 DGGE分析

  取PCR產物30 μL,在Bio-Rad公司的DcodeTM通用突變檢測系統對PCR產物進行DGGE分析,DGGE條件為:丙烯酰胺質量分數 8%,變性梯度40%~64%(100%的變性劑濃度為7 mol · L-1尿素和質量分數40%去離子甲酰胺),并在上述兩種凝膠液中分別加入100 μL 10%的過硫酸銨(ASP)和10 μL的四甲基乙二胺(TEMED).先用200 V預電泳20 min左右以去除膠空中的雜質,然后加入PCR產物樣品,200 V電泳5 h.200 V電壓電泳20 min,然后再用 200 V電壓電泳5 h,緩沖液為1 × TAE,電泳結束后用超純水沖洗兩次,后置于1×SybrGreen工作液中避光染色30 min,用 Bio-Rad公司凝膠成像系統(GelDoc2000TM)進行拍照,DNA指紋圖譜用Quantity one軟件進行分析.

  2.5 數據分析與處理

  2.5.1 Shannon-Weaver多樣性指數(H′)

 

  式中,n為每個泳道的條帶數目,Pi=Ni/N,Ni為第i條條帶的峰面積,N為該泳道所有條帶的峰面積總和.

  2.5.2 Pielou均勻度指數(J)

 

  其中,H′為某泳道的Shannon-Weaver多樣性指數,S為對應泳道的DNA指紋條帶數.

  2.5.3 統計分析

  利用SPSS 18.0對冬季和夏季浮游細菌DNA指紋條帶數、H′和J值進行顯著性差異t檢驗,對DNA指紋條帶數與環境因子進行Pearson相關性分析.

  3 結果

  3.1 水環境因子

  表 1列出了兩次調查中大亞灣海域各站位的水環境因子,可以看出大亞灣海域水溫較高,即使在12月份的冬季,水溫仍可以達到20 ℃左右;夏季水溫則高達29 ℃左右.各站位間水溫差異不大,一般小于1 ℃.兩次調查期間鹽度相近,在33~34之間.冬季pH值略高于夏季,而DO值和透明度則明顯高于夏季.

  表1 2010年冬及2011年夏大亞灣海域水環境因子

 

  3.2 DGGE指紋圖譜分析

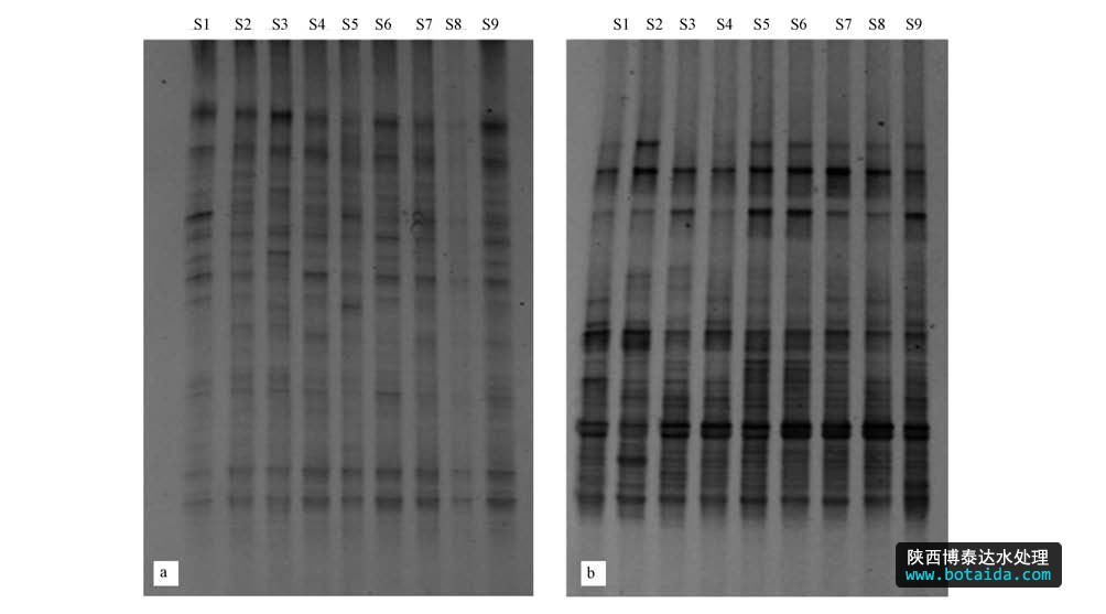
  2010年冬季和2011年夏季大亞灣海域浮游細菌的DNA指紋圖譜見圖 2.結果顯示,條帶分離較好,冬季條帶亮度較夏季弱,冬季浮游細菌豐度較低.從帶型模擬圖(圖 3)中可以更清楚看到各站位浮游細菌DNA指紋圖譜,冬季和夏季樣品中分別共得到32條和33條條帶.

 

  圖2 大亞灣海域浮游細菌16S rDNA V3區DNA圖譜(a. 2010年冬,b. 2011年夏)

 

  圖3 大亞灣海域浮游細菌16S rDNA V3區DGGE圖譜分析帶型圖(其中水平軸上的數字(1~9)為站點編號,百分比是與標準泳道的匹配度; 垂直軸上的數字為DNA條帶編號(a. 2010年冬,b. 2011年夏))

  冬季樣品共有的優勢條帶較多,如灰度較大的優勢菌群條帶1、2、5、8、10、11、12在各個站位均有出現,條帶1和條帶2為最為常見優勢條帶,條帶11和12在S2以及S5~S8站位較為豐富(圖 3a).以S7為標準,其余站位與之匹配度為49.8%~76.7%之間,位于大鵬澳海域的幾個站位與S7的匹配度較高,而位于澳頭海域的S1~S3與之匹配度較低,說明這兩個海域浮游細菌存在一定空間異質性,但整體來說比較均一.

  夏季樣品中共同的優勢條帶較少(圖 3b),條帶2在每個站點均出現,且灰度值比較大,為優勢菌群;但有些灰度值較大的條帶(優勢菌群)只在部分采樣點出現,如條帶3、10、21、31.以S3為標準,所有泳道與S3的匹配度差別不大,在60.0%~68.6%之間(圖 3b),說明夏季浮游細菌空間分布差異較低.

  3.3 浮游細菌DNA指紋多樣性

  大亞灣海域浮游細菌DNA指紋條帶數見圖 4.各站位條帶數變化不大,冬季為18~22條,平均為20條;夏季較高,為19~25條,平均為23條.夏季指紋條帶數明顯高于冬季(p<0.01).

 

  圖4 大亞灣浮游細菌DNA指紋條帶數

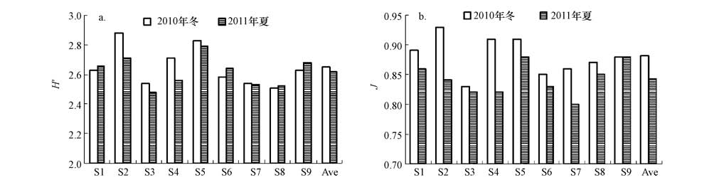
  與DNA指紋條帶數不同,冬季DNA指紋的Shannon-Weaver多樣性指數(H′)略高于夏季(p>0.05),冬季和夏季H′值的變化范圍分別為2.51~2.88和2.48~2.79;而均勻度(J)則在冬季明顯較高(p<0.01),冬季和夏季分別為0.83~0.93以及0.80~0.88.

  3.4 浮游細菌DNA指紋與環境因子的關系

  從浮游細菌與環境因子之間的相關關系可以看出,DNA指紋條帶數與環境因子密切相關,其中與溫度和鹽度明顯正相關(p<0.05),而與pH、DO以及透明度明顯負相關(p<0.05或p<0.01),結果說明高溫高鹽可促進浮游細菌多樣性,而pH、DO、透明度下降等水質惡化現象則可降低浮游細菌的種類豐富程度.H′值僅與J值呈明顯正相關;而J則與水溫明顯負相關,與pH和DO明顯正相關.各種環境因子之間幾乎均呈現出明顯的相關關系,其中水溫與pH、DO、透明度均明顯負相關(p<0.05或p<0.01),說明夏季水質較冬季差;而DO又與pH和透明度明顯正相關(p<0.01).

 

  圖5 大亞灣浮游細菌DNA指紋的Shannon-Weaver多樣性指數(H′)和PieLou均勻度(J)(a. H′,b. J)

  表2 浮游細菌DNA指紋及其多樣性指數與環境因子的相關關系

 

  4 討論

  4.1 大亞灣海域浮游細菌多樣性

  浮游細菌種類豐富程度以及DNA指紋條帶數與海域環境狀況以及富營養化程度密切相關,在富營養化海區細菌豐度較高,但種類數和多樣性下降.在本研究中,DNA指紋條帶數與pH、DO以及透明度均呈明顯的負相關關系,說明水質能影響浮游細菌的種類數.大亞灣海域浮游細菌種類較豐富,每個樣品觀察到的DNA條帶數為18~25條,冬季和夏季分別檢測到32和33條帶.在同期的可培養浮游細菌調查中,共分離培養了70株菌株,根據16S rDNA序列分析,獲得了35個不同序列,細菌種類數與本研究相近.大亞灣海域浮游細菌的DNA指紋條帶數明顯高于以往的研究報道,如黃海冷水團海域的浮游細菌DNA指紋條帶數僅17條左右(劉敏等,2008),東海長江口赤潮高發區各站位浮游細菌指紋條帶數不超過20條,葡萄牙的Ria de Aveiro海域浮游細菌的條帶數與本研究相近,為17~24條;而與地中海西北部海域浮游細菌的DNA指紋條帶數相近,為26~36條.

  但是大亞灣海域浮游細菌的Shannon-Weaver多樣性指數(H′)較低,平均僅為2.63,低于其他海域浮游細菌多樣性指數,并且低于同期調查的本海域可培養浮游細菌的多樣性指數.大亞灣海域DNA指紋條帶較豐富,說明該海域物種數較豐富,但某些耐受能力較強的物種在數量上占據優勢,致使細菌菌落結構多樣性下降.從DNA指紋圖譜和帶型模擬圖中也可看出,優勢種類亮度較高,優勢度明顯.大亞灣海域曾被認為是我國近岸海域水質較好的港灣之一,但近年來富營養化程度明顯上升,而且營養鹽補充及時,初級生產力較高(孫翠慈等,2006).在近年來的浮游植物調查中,也發現大亞灣浮游植物種類豐富,數量較高,浮游植物種類多樣性指數較低的現象.

  雖然夏季浮游細菌的DNA指紋條帶數明顯高于冬季,但冬季的種類多樣性指數和均勻度指數略高于夏季.一般在溫帶海域浮游細菌季節變化明顯,冬季細菌種類多樣性和數量均明顯低于夏季.大亞灣位于亞熱帶,全年平均水溫在25 ℃以上,冬季水溫也較高,即使在12月份水溫也達到20 ℃左右.因此,浮游細菌的生長不會受到冬季低溫的影響,但浮游細菌DNA指紋條帶數仍與水溫呈明顯的正相關關系,而H′則與水溫負相關,結果說明高溫能促進細菌種類數,但種類多樣性下降.大亞灣海域浮游植物群落結構與浮游細菌相近,同樣是夏秋季節浮游植物種類豐富,數量較高,但是多樣性指數較低;冬季雖然種類數下降,數量也同時下降,各物種分布更加均勻,種類多樣性上升.而浮游細菌群落結構變化主要由水體中營養物質引起以及有機質有關,大亞灣屬于一個封閉性養殖內灣,有機物質含量豐富,而冬季浮游植物高峰也為浮游細菌提供了豐富的有機質.

  4.2 DGGE技術在細菌群落結構研究中的應用

  DGGE技術能在一定程度上較全面反映浮游細菌群落結構,不能培養的細菌特別是未能培養的優勢菌群能在DGGE圖譜中得到反映.如與本研究同時采集的大亞灣水樣,用培養法一個樣品最多能培養出12個菌株(江曉亮等,2013),而DGGE技術則能顯示出18~25個條帶.但是利用PCR-DGGE技術對細菌群落結構進行分析尚存在一些不足,在PCR-DGGE過程中,優勢種對非優勢種具有屏蔽作用,DNA樣品中低于1%的種類無法在DGGE圖譜中顯現出來(Muyzer et al., 1993);而不同細菌之間基因的拷貝數以及基因組大小的差異性也會對細菌DNA指紋數及亮度產生影響,從而導致該技術對浮游細菌群落結構的評價產生偏差.

  此外PCR-DGGE技術不能對細菌進行準確的分類鑒定,僅能相對反映細菌的種類多樣性.如果需要對細菌進行進一步分類鑒定,需要切膠測序.而且PCR-DGGE技術不能準確對細菌進行定量分析,DGGE條帶的強弱程度只能表示不同種類的細菌之間的相對豐度.雖然本研究未對DGGE條帶進行切膠測序,但在同期調查中對可培養細菌進行了16s rDNA 序列測定(江曉亮等,2013),分析鑒定了35種可培養細菌,其中以α-變形菌綱(Alphaproteobacteria)和放線菌綱(Actinobacteria)為分離最多的兩大類,此外還包括β-變形菌綱(Betaproteobacteria)、蓋球菌屬(Kytococcus)以及間胞囊菌屬(Intrasporangium)的菌株.

  由此可見,雖然PCR-DGGE技術在研究群落動態和多樣性方面存在優勢,但該技術無法給出細菌的代謝活性、數量和基因表達水平方面的信息,必須與其他技術相結合以彌補其本身的不足,如酶學分析均可以提供群落代謝活性特征,熒光原位雜交技術可以提供細菌的相對數量,而通過與熒光定量PCR結合,可以對群落的細菌數量進行定量分析.因此,PCR-DGGE技術與其他分類以及分子生物學技術結合后,可更好地反映海洋細菌群落結構與功能.

  4 結論

  1)大亞灣海域浮游細菌DNA指紋條帶豐富,在2010年冬和2011年夏的調查中共分別得到32和33條DNA指紋條帶,每個樣品的DNA條帶數為18~25條.

  2)高溫高鹽可促進浮游細菌多樣性,而pH、DO、透明度下降則可降低浮游細菌的種類豐富程度.

  3)夏季DNA指紋條帶數明顯高于冬季,但冬季的多樣性指數與均勻度指數較高.

 

如需要產品及技術服務,請撥打服務熱線:13659219533
選擇陜西博泰達水處理科技有限公司,你永遠值得信賴的產品!
了解更多,請點擊www.slqxd.com

細菌 海洋

欧美不卡